クリニック紹介
■診療内容
診療内容歯科インプラント・歯科口腔外科・審美修復治療・歯列矯正治療・歯周治療・歯科再生療法・一般歯科・小児歯科、高齢者歯科
■診療時間
あんざい歯科クリニック
平日9:00~20:00
土曜9:00~13:00
ベイフロントクリニック
平日9:00~20:00
土曜9:00~18:00
トピックス
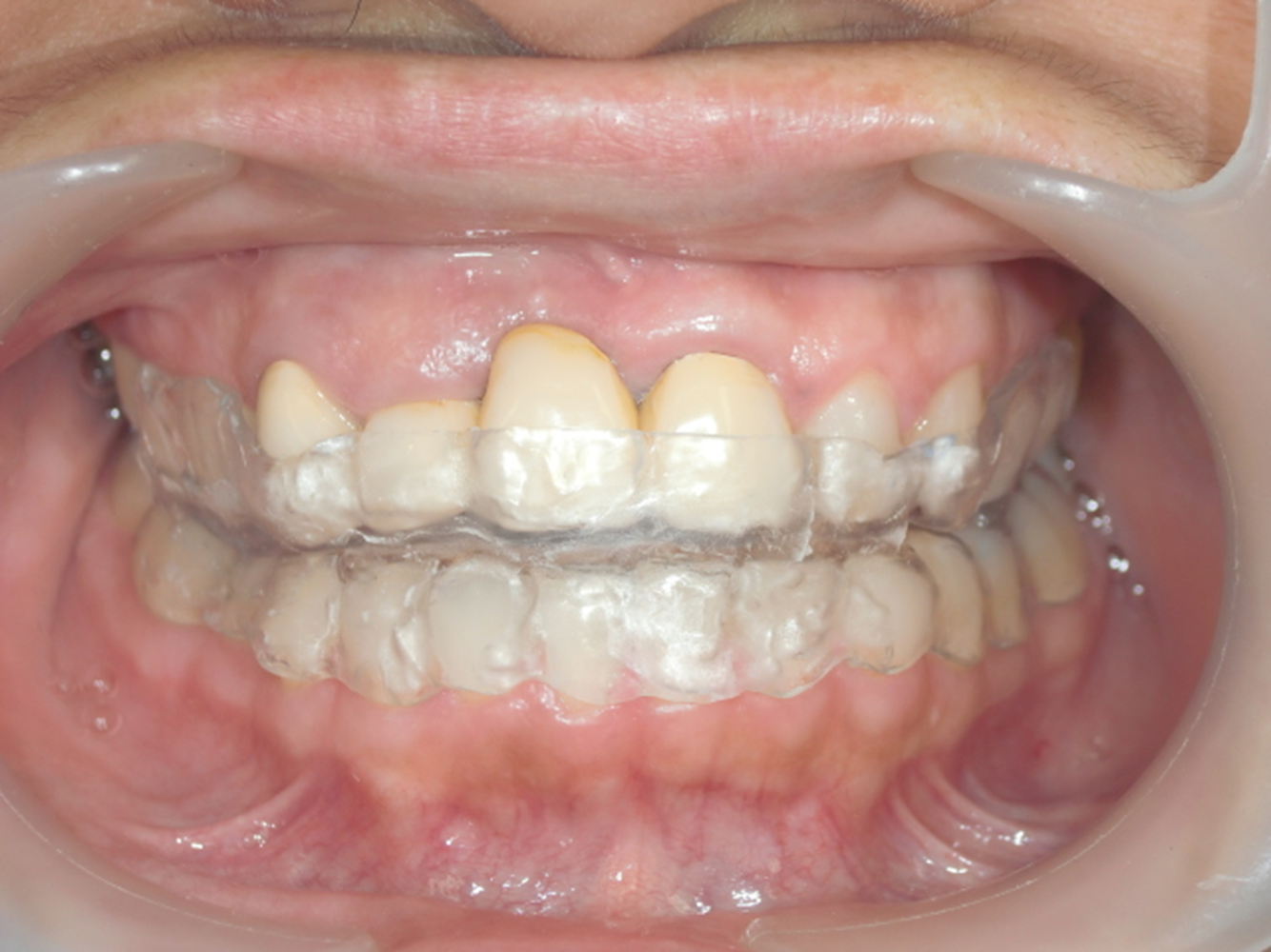
スリープスプリントとは 藤田 克枝

スリープスプリントと聞いたことがありますか 下顎強制的にまえに固定することで気道を確保するマウスピースのことです。
スリープスプリントとは睡眠時無呼吸症候群の口腔内治療用装置の事であります。
睡眠時無呼吸症候群は寝てる間に呼吸が止まってしまう病気の事です。どんな人がなるかというとお相撲さんのように太ってのどに脂肪が付いている人とか、年を取って筋力がおちて舌が沈下してしまう人、もともと顎が小さい人とかに診られます。最近では歯科医院でも健康保険を使ってスリープスプリントを作る事が出来るようになりました。作り方はまず1日目、上下の歯型を取ります。2日目、上下のマウスピース口腔内で装着し、上下の噛み合わせを採ります。最初は上下が接するくらいから始めて仮止めをして持ち帰り1週間程使って貰い、呼吸の止まっている回数などを調べて貰い、徐々に調整していきます。
スリープスプリントの良い点は装置が小さく持ち運びが簡単であること、人が見ても見た目が悪くない事、諸経費が安い事等が挙げられます。
ただ、健康保険適用になる為には医科で睡眠時無呼吸症候群という紹介状が必要となります。大体3割負担の方で1.5万円くらいの費用となります。心当たりのある方は一度ご相談下さい。

スリープスプリントとは睡眠時無呼吸症候群の口腔内治療用装置の事であります。
睡眠時無呼吸症候群は寝てる間に呼吸が止まってしまう病気の事です。どんな人がなるかというとお相撲さんのように太ってのどに脂肪が付いている人とか、年を取って筋力がおちて舌が沈下してしまう人、もともと顎が小さい人とかに診られます。最近では歯科医院でも健康保険を使ってスリープスプリントを作る事が出来るようになりました。作り方はまず1日目、上下の歯型を取ります。2日目、上下のマウスピース口腔内で装着し、上下の噛み合わせを採ります。最初は上下が接するくらいから始めて仮止めをして持ち帰り1週間程使って貰い、呼吸の止まっている回数などを調べて貰い、徐々に調整していきます。
スリープスプリントの良い点は装置が小さく持ち運びが簡単であること、人が見ても見た目が悪くない事、諸経費が安い事等が挙げられます。
ただ、健康保険適用になる為には医科で睡眠時無呼吸症候群という紹介状が必要となります。大体3割負担の方で1.5万円くらいの費用となります。心当たりのある方は一度ご相談下さい。











