クリニック紹介
■診療内容
診療内容歯科インプラント・歯科口腔外科・審美修復治療・歯列矯正治療・歯周治療・歯科再生療法・一般歯科・小児歯科、高齢者歯科
■診療時間
あんざい歯科クリニック
平日9:00~20:00
土曜9:00~13:00
ベイフロントクリニック
平日9:00~20:00
土曜9:00~18:00

最新治療
◆ GBR ◆
GBRとは、guided bone regenerationの略で、和訳では骨再生誘導法という外科療法です。
当初、歯周治療のために開発されたguided tissue regenerationがインプラント周囲の骨欠損に応用され、骨再生が誘導できることから普及したものです。
実際の症例をご覧頂きます。
■実際の症例■
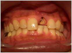
現 症:左上中切歯には前装冠が装着されていた。
触診では歯冠部が動揺していたが、歯根に動揺は無く、歯根破折を疑った。
X線検査所見:左上中切歯は残根状態で、画像で破折線は判読できなかった。
診 断:左上中切歯歯根破折
GBRとは、guided bone regenerationの略で、和訳では骨再生誘導法という外科療法です。
当初、歯周治療のために開発されたguided tissue regenerationがインプラント周囲の骨欠損に応用され、骨再生が誘導できることから普及したものです。
実際の症例をご覧頂きます。
■実際の症例■
現 症:左上中切歯には前装冠が装着されていた。
触診では歯冠部が動揺していたが、歯根に動揺は無く、歯根破折を疑った。
X線検査所見:左上中切歯は残根状態で、画像で破折線は判読できなかった。
診 断:左上中切歯歯根破折


Replace Serect Taperedインプラント1本(直径5.0mm,長さ13mm)を埋入後、上顎智歯部より移植骨を採取しGBRを行った。



最終上部構造の装着
暫間上部構造の歯冠長が右上中切歯に対して長くなったが、2ヶ月間リップラインの位置関係と軟組織の状態を精査し、患者に説明の上で2006年3月に最終上部構造を装着した。
暫間上部構造の歯冠長が右上中切歯に対して長くなったが、2ヶ月間リップラインの位置関係と軟組織の状態を精査し、患者に説明の上で2006年3月に最終上部構造を装着した。



